Greeus Clinicにいらっしゃった患者さんへのインタビューを掲載します。
今回は肺がんを患い、治療による疼痛、副作用、不安感についてなどの相談を承った、患者さまへのインタビューです。
患者インタビュー:加門さん(50代・日本在住)
診断:肺がん術後
治療期間:2021年〜(2025年5月より当院にて治療継続中)

最初のがんは、いつ見つかりましたか?
最初にがんが見つかったのは、2021年です。
健康診断を受けると「肺に影がある」と言われ、翌週、呼吸器外科に行きました。
その時、突然「がん」だと宣告されました。
腫瘍とその周りを含めると5cm超と判断され、すぐに手術を受けなければならない状態だと言われました。
その時は、とにかく本当に整理がつかないまま、二週間後に空いていた手術室に手術の予約をしました。
その後は、どういった治療を受けられたんですか?
まず、最初の手術の時に、左上の肺を全て摘出手術していただきました。
左下にも肺があるため、訓練すれば、左下の肺が膨らんで回復する可能性があると説明を受けました。
なんとか手術が終わりましたが、腫瘍マーカー(CEA)は8を超えており、状態としては「まだがんである」と言われました
そして、手術後に抗がん剤を含んだ、三年間のプログラムを受けることになります。
抗がん剤の副作用は深刻でした。
がん細胞を殺すために、元気な細胞まで殺してしまうというのは病院からも説明されていました。
だけど、がんが再発しないためには飲まなきゃいけません。
口内炎で食べれなくなり、下痢はひどいし、熱で疲れが取れないし、立ち上がるだけで息切れすることもありました。
それをリハビリをしながら、二年間は我慢したんです。
それなのに、最初の手術からニ年半後、
また「怪しい影がある」と検査で言われました。
CTを受けると「がんがある」と。
でも、もう手術は受けたくなかったんです。
1回目の手術を受けた時、手術後もしばらく生きた心地がしませんでしたから。
それでも、まだ50代っていうのはがん患者の中では若いんですよね。
だから、早く取ったほうがいいと医師から説得を受け、手術を受けることになりました。
今度は、左下葉の部分切除手術。
部分切除だから大丈夫だと言われていたんですが、結局1回目よりも切った部分が多くなってしまったようで、出血量が多すぎて気持ち悪くて目が開かなくなりました。
ずっと警告音が鳴っていて、うるさい音だなと思ったら自分なんです。
手術後も肺はずっと痛いままでした。
医師からは「縫いきれてない可能性がある、再手術を受ける可能性がある」と説明されました。
手術後はどうでしたか?
その後も血液の量が戻らず、手術が終わってから一週間後、急に歩けなくなりました。
それからは点滴と薬の嵐です。
日常生活は、もう自分には無理だと思いました。検査ばっかりされるけど、動けなくて何もできない。
やっとよちよち歩けるようになって、退院しました。
それから、手術の四ヶ月後、
今度は肺の空気漏れが見つかりました。
「空気が漏れていて、左肺は機能していません」と言われました。
だけど、もう手術は無理だと伝えました。
全身麻酔から覚めた時の恐怖が嫌で、耐えられないと思いました。
すると医師は「運よく空気漏れが止まれば、回復するでしょう」と。
「だけど肺がんが再発した場合、10年間の生存率は30%以下です」
という説明も受けました。
そして、再発しないために、今抗がん剤を使うのか?
それとも再発した時に抗がん剤を使うのか?
この二択に迫られました。
抗がん剤を続けていると、動物として弱っていく感じがします。
起き上がれない、口内炎で食べれない、ずっと痛い。
だから、とりあえずは痛み止めを飲みながら
定期的に検査を受ける生活を続けました。
左腕はどんどん上がらなくなっていき、寝るときも左を下にできなくなりました。
体重も46kgまで減っており、人生の終活を考え始めていました。
どうやってGreeusクリニックを知りましたか?
そんな時、友人から「タイに遊びに行かないか?」と声をかけられたんです。
タイの話の中で、医療大麻の可能性についても話していました。
タイに行ってみたかったのもありますし、
大麻に関しては見たこともなかったですが、今よりも楽になる可能性があるなら、なんだってしてみたいと思いました。
効果については半信半疑でしたが、人生の終わりに近づいているのなら、海外での体験や新しい挑戦をしてみたいという気持ちが強かったです。
正直、空港もよちよち歩きで車椅子を使って、いろんな人に支えられながら到着したタイでした。
クリニックで何が印象的でしたか?
最初に問診を受けた時、医師から
「一番何を改善したいですか?」って聞かれたんです。
それで「安心して毎日を過ごしたいです」と答えました。
本当に驚いたんですが、医師は
「がん手術の傷の痛みについては、治っています」
とはっきり仰っていただいたんです。
え、治ってるんですか?って。
そしたら、「外科的に見たら治っています、再発はしません」と言っていただけて。
本当にびっくりしました。
治ってるなんて言われたことなかったんで。今まで、安静にしてくださいしか言われたことありませんでしたから。
でもその時、確かにそりゃ手術から一年経てば、切り傷だったり骨折だったり、一年たったら治るよなってハッとしたんです。
そして、
「あなたの場合は、脳が痛みを記憶しているだけの可能性があります。だからそれに対してケアしていきましょう」
というように言われました。
5月に始めて診察を受けた時から、本当に考え方が変わりました。

どんな治療を受けましたか?
今抱えてる「夜眠れない」とか「痛い」とかも全て、ストレスであったりとか精神的なものであると言われました。
そして、人間は自然にそういうのを治していく能力があるから、医療用大麻オイルなどを使って、回復力を促進していきましょうと説明されました。

以下のようなことを試しました。
- 医療用大麻オイル
- ハーブカプセル
- 規則正しい生活(睡眠、運動)
- 自然のものをよく摂る(フルーツ)
- 水分をよく摂る
- 深呼吸する
医療大麻オイルを試すと、一日目からぐっすり眠れたことに驚きました。
さらに、普段はほとんど歩けないのに、タイにいる時は1日2kmほど歩いていました。
やはり医師の言うとおり、痛みは考えすぎによるものだったのかなと思っています。
がんになってから、大きく深呼吸したことなんてありませんでした。
だけど深呼吸を勧められ、ゆっくりやってみると、そんなに痛くないなと感じたんです。
日本に帰ってからはどうですか?
呼吸をして痛いとか、物を持って痛いなどは少しずつ感じなくなっていきました。
実は、元々水泳が好きで、三年ぶりにスイミングスクールにも登録して、今は肺を鍛えてます。
現状飲んでいる痛み止めも、すぐに少しずつ辞め始めました。
タイの医師から勧められたわけではないんですが、過去にも痛み止めはやめたいと思ったことがありました。
まず最初に、日本のお医者さんに薬を半分してもらって、
次に1/3にしてもらって、
飲み忘れても大丈夫で、
一ヶ月半で飲まなくなりました。

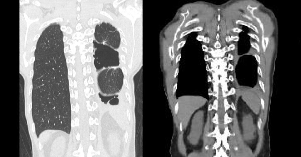
左:2024年10月1日
二度目の手術後、経過観察中に撮影された画像です。
この時期は、痛みが続きほとんど歩けませんでした。
手術の影響による含気量の低下や不均一さが見られ、肺が十分に広がっているように見えます。
右:2025年2月25日
Greeus Clinicでの治療を継続した後に撮影された画像です。
症状が落ち着き、歩行距離や体力が回復し始めた時期です。
肺の含気状態は比較的安定しており、急な悪化を示す所見は目立ちません。
現在はどうされてますか?
腫瘍マーカー(CEA)はどんどん下がっていって、先日受けた7月15日の検査では、3.4にまで落ち着きました。
日本の医師からも「現時点で肺がんの可能性は低い」と仰っていただけました。
発熱ももう出ておらず、体重も少しずつ増えて、今は元の体重にも戻っています。
現在は朝6時に起きて、子供のご飯を作り、プールで1時間泳いだりしています。
趣味で車のエンジン製作もしており、充実した毎日を過ごしています。
※本記事はあくまで個人の体験談であり、記載された内容はすべての方に同様の結果を保証するものではありません。
医療大麻をどんな人におすすめしたいですか?
手術後で経過観察の方には、ぜひ行ってみてほしい。
ただ、僕が最初からこのクリニックを知ってたら「がんの可能性がある」と言われた時点で言っていました。
切ったほうがいいですかね?っていうことまで相談したかったです。年齢によっては、手術だけでもリスクありますから。
同じように悩んでいる方にも、ぜひ前向きな気持ちになってほしいと思っています。


コメント